2012.09.11
- プレスリリース
- 研究
横浜市立大学 学術院医学群 泌尿器病態学 小川 毅彦准教授(窪田 吉信教授)、佐藤 卓也博士研究員らは、重篤な精子形成不全により不妊になる遺伝子変異マウスの精巣組織を体外で培養し、精子形成を誘導し精子を産生することに成功しました。産生された精子細胞を用いて産仔も得られました。この研究は、理化学研究所バイオリソースセンター遺伝工学基盤技術室・小倉淳郎室長、基礎生物学研究所生殖細胞研究部門・吉田松生教授らのグループとの共同研究による成果です。
本研究成果は、科学雑誌『米国科学アカデミー紀要(PNAS)』オンライン版(米国東海岸時間9月10日午後3時付:日本時間9月11日午前4時付)に掲載されました。
本研究成果は、科学雑誌『米国科学アカデミー紀要(PNAS)』オンライン版(米国東海岸時間9月10日午後3時付:日本時間9月11日午前4時付)に掲載されました。
| 研究成果のポイント |
|---|
| ○男性不妊モデルマウス(無精子症)の精巣組織を培養し、精子産生することに成功した。 ○産生された精子細胞をもちいて産仔を得た。 ○精子形成を促進するサイトカイン等の因子を培養実験で検定できることを示した。 |
研究概要
研究グループは、新生仔マウス精巣組織を器官培養し、精子産生と産仔に成功し、昨年3月にその成果を『Nature』に報告しました(参考文献)。その後も、この技術を発展させ、男性不妊症の診断・治療に貢献するために、プロジェクトを進めてきました。今回、不妊マウスの精巣組織片を、精子形成誘導するためのサイトカインを添加した培地で培養することで、精子形成を誘導し精子産生に成功しました(図1)。
男性不妊の原因のほとんどは精子形成障害によるものですが、それらの病態はほとんど明らかになっておらず、有効な治療法は確立されていません。カップルのおおよそ10-15%が不妊で、その約半数は男性側に原因があるといわれています。そして、それら男性不妊のおよそ3/4は、精子形成障害によるものですが、それらの病態はほとんど明らかになっていません。よって有効な治療法が確立されていないのが現状です。
精子形成障害の病態を精巣内の細胞レベルで考えてみると、その原因は生殖細胞自身に起因する場合もありますが、ホルモンや成長因子などの異常による精巣内環境に問題がある場合、あるいは両方の要因に起因する場合も考えられています。
本研究では、精巣内環境異常による男性不妊のモデルとして、Sl/Sl d マウスを対象に治療法の開発を試みました。Sl/Sl d マウスは、セルトリ細胞 ※1 が発現する精子形成に必須の成長因子であるc-kit ligand (KITL、別名:幹細胞因子)に欠損があり、膜結合型KITLを作ることができません。そのため精子形成が全く進行せず、精巣内には未熟な精原細胞 ※2 がわずかに存在するのみになる代表的な不妊マウスです。
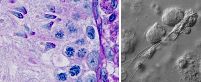
そのSl/Sl d マウスの精巣組織を、組換え体KITLを添加した培地で器官培養したところ、精子形成が進行し精母細胞と少数ながら円形精子細胞が形成されることが分かりました。さらに、Colony stimulating factor-1(別名:マクロファージ刺激因子)を追加するとKITLと相乗的に作用し、精子形成をさらに促進し、精子産生されることを発見しました(図2)。そこで産生された精子細胞を用いて顕微授精実験 ※3 を行ない、産仔を得ることに成功しました。その仔マウスは正常に成長し、自然交配にて孫世代の子孫も産生したことから、生殖能も正常であることが確認されました(図3)。
これらの結果は、精巣内環境異常により精子形成不全となっている不妊症の場合には、その精巣組織を適切な条件で培養することにより、精子産生できる可能性があることを示すものです。現段階では、ヒトの精巣組織の培養自体が難しいため、この技術をそのままヒトへ適用することはできませんが、将来的に不妊治療への道筋を示したことは、非常に意義深いものと考えられます。
※1 セルトリ細胞: 精上皮の基底側から管腔側に向かって伸びる柱状の細胞。精細胞の支持、栄養供給、種々のタンパク質の分泌などの機能を有する。
※2 精原細胞: 精子の元となる細胞である。精子形成は、精原細胞から、減数分裂を行う精母細胞、円形精子細胞がダイナミックな形態変化を伴う精子変態へて精子をつくる一連の過程です。
※3 顕微授精: ガラス針により精子を卵に注入して授精させる方法。
男性不妊の原因のほとんどは精子形成障害によるものですが、それらの病態はほとんど明らかになっておらず、有効な治療法は確立されていません。カップルのおおよそ10-15%が不妊で、その約半数は男性側に原因があるといわれています。そして、それら男性不妊のおよそ3/4は、精子形成障害によるものですが、それらの病態はほとんど明らかになっていません。よって有効な治療法が確立されていないのが現状です。
精子形成障害の病態を精巣内の細胞レベルで考えてみると、その原因は生殖細胞自身に起因する場合もありますが、ホルモンや成長因子などの異常による精巣内環境に問題がある場合、あるいは両方の要因に起因する場合も考えられています。
本研究では、精巣内環境異常による男性不妊のモデルとして、Sl/Sl d マウスを対象に治療法の開発を試みました。Sl/Sl d マウスは、セルトリ細胞 ※1 が発現する精子形成に必須の成長因子であるc-kit ligand (KITL、別名:幹細胞因子)に欠損があり、膜結合型KITLを作ることができません。そのため精子形成が全く進行せず、精巣内には未熟な精原細胞 ※2 がわずかに存在するのみになる代表的な不妊マウスです。
そのSl/Sl d マウスの精巣組織を、組換え体KITLを添加した培地で器官培養したところ、精子形成が進行し精母細胞と少数ながら円形精子細胞が形成されることが分かりました。さらに、Colony stimulating factor-1(別名:マクロファージ刺激因子)を追加するとKITLと相乗的に作用し、精子形成をさらに促進し、精子産生されることを発見しました(図2)。そこで産生された精子細胞を用いて顕微授精実験 ※3 を行ない、産仔を得ることに成功しました。その仔マウスは正常に成長し、自然交配にて孫世代の子孫も産生したことから、生殖能も正常であることが確認されました(図3)。
これらの結果は、精巣内環境異常により精子形成不全となっている不妊症の場合には、その精巣組織を適切な条件で培養することにより、精子産生できる可能性があることを示すものです。現段階では、ヒトの精巣組織の培養自体が難しいため、この技術をそのままヒトへ適用することはできませんが、将来的に不妊治療への道筋を示したことは、非常に意義深いものと考えられます。
※1 セルトリ細胞: 精上皮の基底側から管腔側に向かって伸びる柱状の細胞。精細胞の支持、栄養供給、種々のタンパク質の分泌などの機能を有する。
※2 精原細胞: 精子の元となる細胞である。精子形成は、精原細胞から、減数分裂を行う精母細胞、円形精子細胞がダイナミックな形態変化を伴う精子変態へて精子をつくる一連の過程です。
※3 顕微授精: ガラス針により精子を卵に注入して授精させる方法。
<図1> 実験方法の概略
<図2> 不妊マウスの精子形成誘導に成功
<図3> 不妊マウス由来のマウスとその仔マウス達
参考文献:
Sato T, Katagiri K, Gohbara A, Inoue K, Ogonuki N, Ogura A, Kubota Y, Ogawa T: In vitro production of functional sperm in cultured neonatal mouse testes. Nature 471, 504-507 (2011)
*この研究は、文部科学省科学研究費補助金 新学術領域研究「配偶子幹細胞制御機構」および基盤研究(B)、若手研究(B)、横浜市立大学先端医科学研究センター研究開発プロジェクト、横浜総合医学振興財団からの研究補助金により行われました。
Sato T, Katagiri K, Gohbara A, Inoue K, Ogonuki N, Ogura A, Kubota Y, Ogawa T: In vitro production of functional sperm in cultured neonatal mouse testes. Nature 471, 504-507 (2011)
*この研究は、文部科学省科学研究費補助金 新学術領域研究「配偶子幹細胞制御機構」および基盤研究(B)、若手研究(B)、横浜市立大学先端医科学研究センター研究開発プロジェクト、横浜総合医学振興財団からの研究補助金により行われました。