2012.12.11
- プレスリリース
- 研究
横浜市立大学大学院医学研究科 米田祐梨子・学術院医学群 才津浩智准教授(遺伝学教室)らは孔脳症・裂脳症患者の約2割にCOL4A1 遺伝子変異を同定しました。この研究は、厚生労働省難治性疾患克服研究事業(孔脳症の遺伝的要因の解明)、脳科学研究戦略推進プログラムのもと、宮城県拓桃医療療育センター・萩野谷和裕副院長、山形大学小児科・加藤光広講師、神奈川県立こども医療センター・小坂仁部長らとの共同研究で行われた研究成果であり、横浜市立大学先端医科学研究センターが推進している研究開発プロジェクトの成果のひとつです。
| ☆研究成果のポイント |
|---|
| ○孔脳症・裂脳症は胎生期における梗塞や出血といった脳循環障害により発生し、脳性麻痺や てんかん及び精神遅滞の原因となる。 ○COL4A1 遺伝子はIV型コラーゲンα1鎖をコードし、IV型コラーゲンα2鎖とヘテロトリマー(α1α1α2)を形成して脈管構造の基底膜に発現している。 ○COL4A1 遺伝子変異は孔脳症・裂脳症患者の約2割に認められ、脳での異常(孔脳症・裂脳症)以外にも、目や筋肉の異常および溶血性貧血など幅広い表現型を引き起こす。 |
孔脳症は大脳半球内に脳室との交通を有する嚢胞又は空洞がみられる脳奇形で、胎生期における梗塞や出血といった脳循環障害により発生すると推測されています。諸外国では、発症率は10万人に0.5~3.5人程度とされていますが、日本での正確な頻度は不明です。
また、裂脳症は脳室から大脳半球表面まで達する裂溝が存在し、その表面が異常灰白質で覆われる脳奇形です。神経細胞の遊走異常を伴う点が孔脳症と大きく異なりますが、孔脳症と同様に脳循環障害により発生する可能性も示唆されておりました。どちらも臨床的には、脳性麻痺(多くは半身麻痺)、てんかん及び精神遅滞を引き起こす重篤な疾患です。
共同研究グループは、IV型コラーゲンα1鎖をコードするCOL4A1 変異が孔脳症を起こすことが報告されていたことから、日本人孔脳症患者61例および裂脳症患者10例の計71例でCOL4A1 の変異解析を行い、孔脳症の10例と裂脳症の5例においてCOL4A1 遺伝子のヘテロ接合性変異を同定しました(表1)。
5変異についてはご両親に認められない新生突然変異であり、2変異については明らかな臨床所見を認めないご両親由来の変異でした。また、変異の見つかった1例は家族例であり、脳性麻痺を有する3名の患者と明らかな臨床所見を認めない血縁者にも変異が見つかりました。
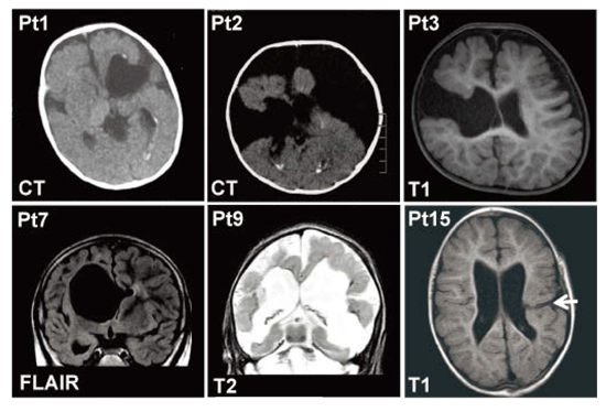
変異を有する患者の頭部MRI画像では、片側性あるいは両側性の孔脳症や裂脳症が認められ、その程度も様々でした(図1)。石灰化を伴うようなTORCH症候群1)を疑う症例においてもCOL4A1 変異が関与していることが分かりました(図1)。また、脳での異常(孔脳症・裂脳症)以外にも、目や筋肉の異常および溶血性貧血など幅広い表現型を引き起こすことが明らかとなりました(表1)。
本研究は、COL4A1 遺伝子変異が裂脳症を引き起こすことを世界に先駆けて明らかにし、孔脳症・裂脳症は同じく血管障害によって引き起こされることを明らかにしました。また、従来周産期障害が原因と考えられていた孔脳症の背景に、遺伝的要因が大きく関与していることを明らかにしました。COL4A1 変異が引き起こす幅広い表現型を明らかとしたことで、遺伝子変異を考慮すべき対象症例が分かってきたといえます。今後、COL4A1 変異が見つかった方の脳出血予防法等の、変異に基づいた治療・管理法の確立が期待されます。
(注釈)
1)TORCH症候群:胎児がトキソプラズマ、風疹、サイトメガロウイルス、ヘルペスウイルスなどに胎内感染した場合に生じる奇形症候群
<表1>
また、裂脳症は脳室から大脳半球表面まで達する裂溝が存在し、その表面が異常灰白質で覆われる脳奇形です。神経細胞の遊走異常を伴う点が孔脳症と大きく異なりますが、孔脳症と同様に脳循環障害により発生する可能性も示唆されておりました。どちらも臨床的には、脳性麻痺(多くは半身麻痺)、てんかん及び精神遅滞を引き起こす重篤な疾患です。
共同研究グループは、IV型コラーゲンα1鎖をコードするCOL4A1 変異が孔脳症を起こすことが報告されていたことから、日本人孔脳症患者61例および裂脳症患者10例の計71例でCOL4A1 の変異解析を行い、孔脳症の10例と裂脳症の5例においてCOL4A1 遺伝子のヘテロ接合性変異を同定しました(表1)。
5変異についてはご両親に認められない新生突然変異であり、2変異については明らかな臨床所見を認めないご両親由来の変異でした。また、変異の見つかった1例は家族例であり、脳性麻痺を有する3名の患者と明らかな臨床所見を認めない血縁者にも変異が見つかりました。
変異を有する患者の頭部MRI画像では、片側性あるいは両側性の孔脳症や裂脳症が認められ、その程度も様々でした(図1)。石灰化を伴うようなTORCH症候群1)を疑う症例においてもCOL4A1 変異が関与していることが分かりました(図1)。また、脳での異常(孔脳症・裂脳症)以外にも、目や筋肉の異常および溶血性貧血など幅広い表現型を引き起こすことが明らかとなりました(表1)。
本研究は、COL4A1 遺伝子変異が裂脳症を引き起こすことを世界に先駆けて明らかにし、孔脳症・裂脳症は同じく血管障害によって引き起こされることを明らかにしました。また、従来周産期障害が原因と考えられていた孔脳症の背景に、遺伝的要因が大きく関与していることを明らかにしました。COL4A1 変異が引き起こす幅広い表現型を明らかとしたことで、遺伝子変異を考慮すべき対象症例が分かってきたといえます。今後、COL4A1 変異が見つかった方の脳出血予防法等の、変異に基づいた治療・管理法の確立が期待されます。
(注釈)
1)TORCH症候群:胎児がトキソプラズマ、風疹、サイトメガロウイルス、ヘルペスウイルスなどに胎内感染した場合に生じる奇形症候群
<表1>
<図1> COL4A1 変異を有する患者の脳画像。患者1(Pt1)および患者2のCT画像では、側脳室周囲の石灰化を認め、TORCH症候群が疑われた。患者3, 9, 15(矢印)はそれぞれ裂脳症を呈している。患者7では片側の孔脳症を認めた。
※本研究成果は、米国神経学会及び米国小児神経学会雑誌『Annals of Neurology』に掲載されます。(米国12月7日:日本時間12月8日オンライン発表)
※この研究は、厚生労働省、文部科学省、独立行政法人科学技術振興機構、日本学術振興会の研究補助金により行われました。
※この研究は、厚生労働省、文部科学省、独立行政法人科学技術振興機構、日本学術振興会の研究補助金により行われました。