2019.11.26
- TOPICS
- 研究
消化器内科学 前田教授らの研究グループが膵臓におけるE-cadherinの役割を明らかに
『Cellular and Molecular Gastroenterology and Hepatology』に掲載
横浜市立大学大学院医学研究科 消化器内科学 金田義弘大学院生、前田 愼教授らの研究グループは、細胞接着分子E-cadherinの膵臓における役割を明らかにしました。この分子の欠損は腫瘍の浸潤・転移に重要な役割を果たす上皮間葉転換に関与すると考えられています。膵臓特異的にE-cadherinをノックアウトしたマウスモデルを作成したところ、生理学的条件下で膵炎様の変化がみられました。また、膵癌で認められる主要な遺伝子異常「変異型KRas遺伝子」の存在下では発癌に寄与することが明らかとなりました。膵臓におけるE-cadherinの機能をIn vivoモデルで解析した初めての報告であり、今後臨床への応用が期待されます。
本研究成果は、『Cellular and Molecular Gastroenterology and Hepatology』に掲載されました。
本研究成果は、『Cellular and Molecular Gastroenterology and Hepatology』に掲載されました。
研究成果のポイント
|
図1 図2
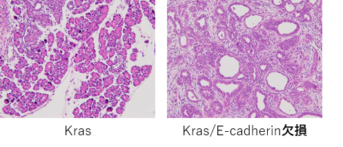
生後5日目のKras及びKras/E-cadherin欠損マウスの病理像。E-cadherin欠損ではすでに腫瘍性変化が起きている。
膵臓特異的にE-cadherinを欠損させると、膵腺房細胞は崩壊し、膵炎様の所見を呈する。一方、KRas変異の存在下では前癌病変であるPanINを速やかに形成する。
研究の背景や内容
膵癌は増加傾向にある5年生存率10%に満たない予後不良な疾患で、局所浸潤および転移を起こしやすいことがその原因となっています。その重要な機序として、膵癌細胞では上皮間葉転換 (EMT) 起こりやすいことが挙げられています。そしてE-cadherinの発現低下はEMTを介して腫瘍進展、治療抵抗性に関与することが広く報告されています。しかし、それがEMTのたんなる指標であるのか、実際にそのプロセスで機能しているのかはこれまで詳細に検討されていませんでした。そこで本研究では、膵臓におけるE-cadherinの生理学的および病理学的役割を検討しました。
まず膵特異的E-cadherinのノックアウトマウスを作製したところ、全て生後28日以内に死亡しました。出生時の膵実質の形態に正常マウスとの違いは見られませんでしたが、生後6日目以降では、腺房導管異形成、アポトーシスの亢進、炎症細胞浸潤および線維化の亢進を認め、膵炎様の組織像を呈していました。次に、腫瘍発生との関連を解析するため、上記ノックアウトマウスと活性型Krasマウス(KrasG12D)を掛け合わせたところ、生後8日目の時点で瀕死状態となり、広範な間質反応を伴う異型腺管が認められ、膵癌に類似した組織像を呈しました。
in vivoでの長期的な解析が困難であったため、マウスの膵臓からオルガノイド培養を行い、ヌードマウスへの皮下移植による組織型の違いを検討したところ、E-cadherin欠損マウス由来の皮下腫瘍では、腺管形成がより乏しく、低分化なEMT 様の組織型を示しました。これらのことから、E-cadherinは正常膵組織の維持に必要であり、その欠損は活性型Krasによる腫瘍の進展、さらにEMTを亢進させることが示唆されました。
まず膵特異的E-cadherinのノックアウトマウスを作製したところ、全て生後28日以内に死亡しました。出生時の膵実質の形態に正常マウスとの違いは見られませんでしたが、生後6日目以降では、腺房導管異形成、アポトーシスの亢進、炎症細胞浸潤および線維化の亢進を認め、膵炎様の組織像を呈していました。次に、腫瘍発生との関連を解析するため、上記ノックアウトマウスと活性型Krasマウス(KrasG12D)を掛け合わせたところ、生後8日目の時点で瀕死状態となり、広範な間質反応を伴う異型腺管が認められ、膵癌に類似した組織像を呈しました。
in vivoでの長期的な解析が困難であったため、マウスの膵臓からオルガノイド培養を行い、ヌードマウスへの皮下移植による組織型の違いを検討したところ、E-cadherin欠損マウス由来の皮下腫瘍では、腺管形成がより乏しく、低分化なEMT 様の組織型を示しました。これらのことから、E-cadherinは正常膵組織の維持に必要であり、その欠損は活性型Krasによる腫瘍の進展、さらにEMTを亢進させることが示唆されました。
今後の展開など
E-cadherinの欠損は癌の浸潤・転移に関わる上皮間葉転換(EMT)に認められる所見です。E-cadherin欠損がEMTの実効分子と考えられるため、E-cadherin発現低下を制御するシグナル伝達系に対する薬剤の開発は膵癌進展抑制の一候補になる可能性が示唆されます。今回の検討では転移の評価が困難であったため、KRas変異に加えてTp53等の遺伝子異常を組み合わせることで、E-cadherinの病理学的役割がさらに検討できると考えています。
本研究は「かもめプロジェクト」※の支援を得て行われました。
※かもめプロジェクトとは
『医療の研究・発展に寄与することを目的として、横浜市立大学医学研究科へ』ご寄付いただいた方のご遺志を踏まえ、医学研究のさらなる発展、特に臨床への還元を明確に意識した研究を支援するプロジェクトです。
本研究は「かもめプロジェクト」※の支援を得て行われました。
※かもめプロジェクトとは
『医療の研究・発展に寄与することを目的として、横浜市立大学医学研究科へ』ご寄付いただいた方のご遺志を踏まえ、医学研究のさらなる発展、特に臨床への還元を明確に意識した研究を支援するプロジェクトです。
問い合わせ先
(内容に関するお問い合わせ)
大学院医学研究科 消化器内科学 教授 前田 愼
TEL:045-787-2727 E-mail:smaeda@yokohama-cu.ac.jp
(取材対応窓口、資料請求等)
研究企画・産学連携推進課 研究企画担当
TEL:045-787-2527 E-mail:kenkyupr@yokohama-cu.ac.jp