YCUについてAbout YCU
学部・大学院
受験生サイト
国際交流・留学
キャリア支援
研究ポータル
病院・研究所・学内共同組織
2017.03.31 横浜市立大学・金沢高校主催小学生対象「はじめてのサッカー教室」を開催しました
2017.03.30 日本物理学会第72回年次大会で津村ゆり子さんが学生賞を受賞!
2017.03.30 カリフォルニア大学サンディエゴ校 Kenneth Vitale先生が来訪されました
2017.03.30 窪田学長、井上医学部長がシンガポール国立大学を訪問しました
2017.03.30 MDアンダーソンがんセンターで行われたYoung Investigator Workshop 201...
2017.03.29 速報!就職内定率98.7% (2017年3月卒業予定者)
2017.03.29 木原生物学研究所の嶋田教授らは人工知能(AI)の技術を応用し、トマトの品質を高めるために鍵となる遺伝...
2017.03.24 平成28年学長賞・学長奨励賞表彰式開催報告および受賞者紹介
2017.03.24 横浜市立大学発ベンチャー企業;横浜医療科学研究所が 健康経営の一助となる「薬膳スパイスカレー」を開発...
2017.03.24 生命医科学研究科 鈴木厚准教授らが運動失調症が引き起こされる新たなメカニズムを発見しました!
2017.03.23 【申込受付中】第6回 広告医学研究会 ~高齢者医療を広告医学で解決する~
2017.03.23 必須アミノ酸バリンの代謝、肝臓発生に重要な役割 -iPS細胞からミニ肝臓を安価に大量創出する技術へ期...
2017.03.23 国際総合科学群 黒木淳講師が稲盛財団の研究助成に採択されました!
2017.03.23 関本奏子助教らの研究成果が、日本で特許として成立しました。
2017.03.22 学生広報ワークショップメンバー募集!
2017.03.18 コニカミノルタジャパン社長 原口淳氏による記念講演を開催 ~平成28年度横浜市立大学卒業式~
2017.03.13 ロボット工学技術により細胞から血管創出に成功 ~再生医療実用化が加速~
2017.03.09 2017 世界トライアスロンシリーズ横浜大会 環境に取り組むトライアスロンセミナー開催~リオデジャネ...
2017.03.09 平成28年度国際総合科学部長賞表彰式
2017.03.09 学部入試実施状況
2017.03.07 川崎病の血液診断マーカー候補タンパク質を発見~早期診断に期待~
2017.03.06 看護学科の学生が、市内学童保育で「いのちの授業」を行ったことが紹介されました。
2017.03.03 国際教養学系社会関係論コース・滝田ゼミによる 「フィールドとつながる~横浜市大発 東北復興ダイアログ...
2017.03.01 産学官連携で誕生した日本人学生と留学生向け空き家利活用シェアハウス 関係者向けオープニングセレモニー...
2017.03.01 187社が来校! 横浜市立大学「学内合同企業セミナー」を開催
2017.02.28 遺伝学の松本教授、高田講師らが統合失調症の新たな遺伝的メカニズムを解明—遺伝子産物の「切り出し」に影...
2017.02.28 高見澤聡教授の研究成果が、日本で特許として成立しました。
2017.02.28 高山光男教授らの研究成果が、日本で特許として成立しました。
2017.02.28 橘勝教授らの研究成果が、日本で特許として成立しました。
2017.02.27 試験内容の変更について
2017.02.22 平成29年度一般選抜前期日程第2次試験を受験する皆さんへ(お願い)
2017.02.22 「英語」で看護演習~グローバル社会で活躍する看護師を育成~
2017.02.21 本学学生のビジネスプランが最優秀賞、課題解決賞に!
2017.02.20 日本経済新聞に木原生物学研究所の辻寛之准教授の研究紹介記事が掲載されました!
2017.02.18 株式会社オンワードホールディングス 馬場彰名誉顧問に横浜市立大学が名誉博士号を授与
2017.02.17 横浜市立大学発ベンチャー企業;横浜医療科学研究所がiPhoneアプリ「ストレスダイアリー」を開発!
2017.02.17 谷口英樹教授らの研究成果が、アメリカ合衆国で特許として成立しました。
2017.02.17 嶋田幸久教授らの研究成果が、日本で特許として成立しました。
2017.02.17 平成29年2月18日実施TOEFL-ITP試験会場について
2017.02.16 横浜市大 広告医学プロジェクト2016-移植医療の普及啓発 移植手術を受けたおもちゃ 「Second...
2017.02.15 はじめてのサッカー教室~市大生・金高生といっしょにキックオフ!~を開催します!
2017.02.15 金沢区から郊外まちづくりの課題を考える 大学COC事業シンポジウムを3月16日(木)に開催
2017.02.14 横浜4大学(神奈川大学、関東学院大学、横浜国立大学、横浜市立大学) 大学教育の質向上を共同で推進 2...
2017.02.07 団地再生や地域活性化に向けて 横浜市立大学と横浜市住宅供給公社が連携協定締結
2017.02.07 ベーチェット病の新規の疾患感受性遺伝子および発症メカニズムを解明
2017.02.06 日経産業新聞に木原生物学研究所の記事が掲載されました!
2017.02.02 平成29年度入学試験志願者数速報
2017.01.31 エイズウイルスの細胞間伝播に関わる宿主蛋白質を発見
2017.01.28 横浜市営地下鉄の魅力を伝える講演会 横浜市大で開催
2017.01.27 第11回ムギ類研究会で関根茜さんが「優秀発表賞」を受賞!
2017.01.25 韓国の高麗大学校と交換留学協定を締結ー世宗キャンパスとの協定は日本の大学で初ー
2017.01.24 生命医科学研究科 茂呂和世大学院客員教授が日本学術振興会賞・日本学士院学術奨励賞を受賞しました!
2017.01.24 入社後ミスマッチを防ぐ 卒業生と在学生の交流イベントを開催
2017.01.24 出願締切直前の学部一般選抜募集要項(願書)の入手方法
2017.01.23 第39回日本分子生物学会で医学研究科の奥田諒さんが優秀ポスター賞を受賞!
2017.01.23 【医学科3~6年生対象】英語プレゼンテーション能力向上プログラム参加者の募集について
2017.01.21 「まちなか市役所」としての新市庁舎活用プランを 学生が横浜市へ提案
2017.01.18 駐日大使を招いての講演会が開催されました。
2017.01.17 松本直通教授らの研究成果が、日本で特許として成立しました。
2017.01.16 【参加者募集中!】YCUで"世界一のおもてなし"を学ぶ
2017.01.13 平成29年度入学式のお知らせ
2017.01.13 平成28年度卒業式のお知らせ
2017.01.11 慢性腎臓病における高血圧発症のメカニズムを解明 ~疾患克服のための新たな高血圧治療の可能性~
2017.01.11 神経の再生を阻害する悪玉タンパク質の善玉的生理機能を発見
2017.01.10 28才大学生。点と点をつなげ、希少価値をつける—活躍する卒業生 小菅将幸さん
2017.01.07 横浜市立大学×横浜ワールドポーターズ連携プロジェクト 3 年間の集大成!1,200枚以上の顔写真でつ...
2017.01.06 平成28年度(平成29年度夏出発)東海大学交換留学募集要項
2017.01.05 【自治体・企業・NPO等団体向け募集】平成29年度横浜市立大学「教員地域貢献活動支援事業」の地域課題
2017.01.05 【終了しました】「伝える」文章力をアップする ライティングスキル基礎講座
2017.01.04 第39回日本分子生物学会で遠藤大樹さんが優秀ポスター賞を受賞!
2016.12.28 第13回神奈川産学チャレンジプログラムで国際総合科学部生が最優秀賞および優秀賞を受賞
2016.12.28 梁明秀教授らの研究成果が、日本で特許として成立しました。
2016.12.27 公共選択学会第19回大会において、中村公亮さんが「若手研究者優秀報告賞(川野辺賞)奨励賞」を受賞!
2016.12.26 大学入試センター試験実施に伴う入構規制について
2016.12.26 YCUモバイルサイトでの志願者数速報のご案内
2016.12.26 平成29年度入学試験志願者数の公開について
2016.12.26 筋肉の障害や筋力低下をきたす難病『先天性ミオパチー』の 新たな原因遺伝子を発見
2016.12.26 各種資料(大学案内・願書等)の請求について
2016.12.21 ボランティア支援室・キャリア支援センター共同開催講座 学生時代の活動と今後のライフデザイン
2016.12.20 第39回日本高血圧学会総会で岸尾望さんがYoung Investigator’s Promotion...
2016.12.20 英語で模擬裁判!本学学生が最優秀弁論者賞を受賞
2016.12.19 「第5回全国学生英語プレゼンテーションコンテスト」で、佐藤圭さんが最優秀賞の文部科学大臣賞を受賞!
2016.12.16 平成29年度 大学院医学研究科研究生の募集
2016.12.15 平成28年度 社会人基礎力育成グランプリ関東地区予選大会で芦澤ゼミが優勝!
2016.12.14 「少林寺拳法全国大会」で、岩瀬勝稔さんが優勝!
2016.12.13 模擬グループディスカッション講座 -企業採用担当からのフィードバックを実施-
2016.12.12 小島伸彦研究室の成果が第43回日本臓器保存生物医学会学術集会で会長賞を受賞しました!
2016.12.12 【開催報告】平成28年度 第二回海外フィールドワーク合同帰国報告会
2016.12.09 フィンランドのサンタクロースが附属病院小児病棟を訪問します
2016.12.09 MDアンダーソンがんセンター Sister Institution Network Fund (SI...
2016.12.09 MDアンダーソンがんセンター Annual GAP Conferences2017 演題募集 につい...
2016.12.08 アジア動物実験代替法学会2016で小島研究室の学生がYoung Scientist Awardを受賞...
2016.12.08 嶋田幸久教授らの研究成果が、日本で特許として成立しました。
2016.12.07 カリフォルニアオフィス山崎所長をお招きして、「医学国際化セミナー」を開催しました
2016.12.06 トラウマ記憶を光操作により消去する新規技術を開発~PTSD(心的外傷後ストレス障害)などの治療の糸口...
2016.12.03 ネパールのトリブバン大学医学部と協定を締結
2016.12.03 地元企業×大学生の交流会「Cross Meeting」を開催します
2016.12.01 大学公式サイトリニューアルのお知らせ
2016.12.01 タイのチェンマイ大学と覚書を締結
2016.12.01 足立典隆教授の研究成果が、日本で特許として成立しました。
2016.12.01 嶋田幸久教授らの研究成果が、日本で特許として成立しました。
2016.11.30 横浜市立大学でキャンドルナイトを開催
2016.11.23 雌の生殖腺付属器官の発生過程を解明
2016.11.22 谷口英樹教授らの研究成果が、アメリカ合衆国で特許として成立しました。
2016.11.22 石川義弘教授らの研究成果が、日本で特許として成立しました。
2016.11.22 平成29年度大学院研究生出願要項(生命医科学研究科)
2016.11.22 医学部医学科 海外派遣プログラムについて
2016.11.22 【活躍する市大生】第38回日本生物学的精神医学会・第59回日本神経化学会大会で優秀発表賞を受賞した廣...
2016.11.21 産学国際研修(留学生・日本人学生ともに参加可)について
2016.11.21 医学科5年生対象 UCSD春季臨床実習参加者の募集について
2016.11.18 【終了しました】広報スキル基礎講座「インタビュー、ライティング、情報発信のスキルをプロの記者から学ぶ...
2016.11.18 【開催報告】 平成28年度市民講座「HAMA&BEER~横浜★麦酒の今昔物語~」
2016.11.17 【活躍する市大生】第48回アジア太平洋公衆衛生学術連合国際会議(APACPH2016)で「Young...
2016.11.17 公開シンポジウム開催「未来につなごう 深海の恵み」
2016.11.15 卵巣明細胞がんの新規血清診断マーカーとして有用性のある検査方法を開発しました
2016.11.11 高山光男教授らの研究成果が、日本で特許として成立しました。
2016.11.11 青田洋一元准教授らの研究成果が、日本で特許として成立しました。
2016.11.11 松本直通教授らの研究成果が、日本で特許として成立しました。
2016.11.11 動脈硬化症の細胞レベルでの病態の解明に成功
2016.11.11 【お知らせ】大学公式Webサイトのメンテナンスについて(12月1日実施)
2016.11.11 平成28年度事務職員採用試験案内(試験区分:医事)合格発表
2016.11.10 横浜市立大学、京都大学iPS細胞研究所(CiRA)、武田薬品がiPS細胞研究の新たなプロジェクトに関...
2016.11.10 【開催報告】医学国際化セミナー 留学希望者のための交流会
2016.11.09 海外フィールドワークの成果を報告 —学生が現地大学や日系企業で調査—
2016.11.09 臨床質量分析共用プラットフォーム(文部科学省 先端研究基礎基盤事業)プロジェクトが始動しました!
2016.11.08 横浜のライフイノベーションを推進する Life Innovation Platform「LIP.横浜...
2016.11.08 合同クリーンキャンペーンを実施 ~地域貢献活動の普及を目指して~
2016.11.03 学生相互のピア・サポートを活用したキャリア形成・就職支援を展開
2016.11.01 【報告】東京湾大感謝祭で横浜市立大学が取り組む海洋研究のブースを出展
2016.10.31 YCU海外研修プログラム体験報告会を開催しました!
2016.10.28 横浜市交通局でインターンシップ! ベトナム・マレーシアからの受入学生が参加
2016.10.27 平成28年度(平成29年度夏出発)ゲーテ大学交換留学派遣学生募集要項
2016.10.27 全国公立大学学生大会 LINK topos 2016 に本学の学生が参加しました
2016.10.27 【活躍する市大生】日本物理学会2016年秋季大会で領域10学生奨励賞を受賞した鈴木さん
2016.10.25 養育放棄(ネグレクト)で見られる攻撃性増加の原因分子を特定
2016.10.25 “壊すことで大きくする”革新的なタンパク質結晶育成法を開発
2016.10.25 【開催報告】10/11金沢八景キャンパス防災訓練
2016.10.24 谷口英樹教授らの研究成果が、日本で特許として成立しました。
2016.10.24 橘勝教授らの研究成果が、日本で特許として成立しました。
2016.10.24 梅村敏名誉教授らの研究成果が、中国で特許として成立しました。
2016.10.21 【在学生向け】平成28年度学生生活アンケートを実施します!
2016.10.21 日本初! 『FMX Demo Performance in Campus』を本学で開催
2016.10.20 本学学生・高田柊さん競技ヨーヨーで世界NO.1を獲得!—世界大会&国際大会でダブル優勝—
2016.10.18 ベストティーチャー賞受賞の医師が伝えます! —医療ドラマ・マンガを100 倍楽しく見る方法—
2016.10.13 MDアンダーソンがんセンター Sister Institution Network Fund(SIN...
2016.10.13 市大生が青年海外協力隊の柔道ボランティアで国際社会に貢献
2016.10.13 在学生に海外研修プログラム体験を伝授 —学生による学生のための報告会を開催—
2016.10.11 【開催報告】平成28年度横浜市立大学保護者説明会(福浦キャンパス)
2016.10.08 本学初! 女子学生のためのキャリア支援セミナーを開催
2016.10.07 ネパールのクォパ工科大学と包括的覚書を締結 —震災からの復興/防災まちづくり分野での連携—
2016.10.06 再生医療の最前線 —iPS細胞は患者さんを救えるか—
2016.10.06 【開催報告】平成28年度伊藤雅俊奨学生・成績優秀者特待生表彰式
2016.10.05 臓器再生医学 谷口教授らの研究課題が平成28年度「産学連携医療イノベーション創出プログラム(ACT-...
2016.10.04 平成29年度科学研究費助成事業の公募について
2016.10.04 【活躍する市大生】「病理学夏の学校 in Gifu 2016」でMost Impressive St...
2016.10.04 西郷信綱 生誕100年記念回顧展を開催
2016.10.03 【開催報告】医学国際化セミナー AP-HP(パリ公立病院連合)視察・研修報告会
2016.10.03 木原生物学研究所 准教授 辻寛之先生の記事がインターネットニュースサイト「SYNODOS」に掲載され...
2016.10.03 【開催報告】医学国際化セミナー特別講演会「がんになったとき、あなたの大切なこどもに何を伝えますか?」
2016.10.01 分子病理学 古屋充子 准教授が平成28年度科研費審査委員として表彰されました
2016.10.01 学生ボランティアによる熊本地方を支援する募金活動 -支援金を東海大学に寄附しました-
2016.09.30 平成28年度UCSD春季アカデミックスキル研修派遣学生募集開始しました!
2016.09.30 平成28年度ビクトリア大学(カナダ)春季語学研修募集要項
2016.09.30 足立典隆教授の研究成果が、日本で特許として成立しました。
2016.09.30 平成29年度 都市社会文化研究科 博士前期課程入学試験 合格発表
2016.09.30 【開催報告】平成28(2016)年度 教養ゼミFD研修会
2016.09.30 平成29(2017)年度 学部募集要項
2016.09.30 HAMA & BEER「横浜麦酒の今昔物語」市民講座を開催!キリンビール横浜工場90周年記念講演も
2016.09.29 英語技能テスト・IELTS受験者対象の特別講義を横浜市立大学で開催!
2016.09.28 【活躍する市大生】日本プロテオーム学会2016大会(東京)で「若手口頭発表優秀演題」を受賞した川崎ナ...
2016.09.28 微量糖タンパク質解析ツールを開発 —バイオ医薬品や診断薬、再生医療製品開発への貢献に期待—
2016.09.24 医学生・看護学生と学ぶ『医療』のしくみ -ヨコハマ大学まつりで子ども向け講座を開催-
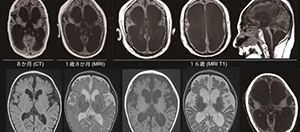
2016.09.23 小児期早期発症神経変性脳症の責任遺伝子を解明
2016.09.17 ビタミンD受容体の不活性型と活性阻害型の構造を解明
2016.09.17 ハグロトンボ調査からわかる舞岡川の環境 -横浜市立舞岡中学校科学部が講演-
2016.09.16 医学科5年生対象 MDアンダーソンがんセンター Clinical observation progr...
2016.09.16 卒業生が在学生をサポート! 理系学生のための 「卒業生との交流会」を開催
2016.09.13 平成28年度(平成29年春出発)ブリッジプログラム説明会を開催します!
2016.09.08 横浜市立大学×横浜市医療局。データサイエンスの力を、がん政策に活用!
2016.09.08 平成28年度病院専門職採用試験案内
2016.09.08 【開催報告】横浜市内の小学生が看護学生を体験~子どもアドベンチャー2016
2016.09.06 【開催報告】学生が「横浜政治学セミナーシリーズ」を企画!
2016.09.05 2017年秋季(平成29年)8月出発・第11期ディズニー・バレンシア国際カレッジプログラム参加者募集...
2016.09.05 平成28年9月から福浦健康管理室の相談室の場所が変わりました
2016.08.25 【開催報告】医学国際化セミナー MDアンダーソンがんセンター研修報告会
2016.08.22 平成27年度厚生労働省子ども・子育て支援推進調査研究事業について報告します
2016.08.22 【活躍する市大生】第56回日本経営システム学会全国研究発表大会で「学生研究発表優秀賞」を受賞した小茄...
2016.08.19 平成29年度大学院生命医科学研究科 博士前期課程入学試験合格発表
2016.08.19 【重要】教職員 定期健康診断の日程のうち、附属病院・福浦キャンパス分の一部に訂正があります…正:9/...
2016.08.18 小学生を対象に看護学科の体験プログラムを開催〜子どもアドベンチャー2015
2016.08.17 【活躍する市大生】第129回講演会日本育種学会で優秀発表賞を受賞した三上さん
2016.08.17 【開催報告】平成28年度木原生物学研究所一日施設公開・講演会
2016.08.10 免疫学 田村教授ら研究グループが自然免疫の過剰な反応を防ぐ新たなしくみを発見し、その破綻と自己免疫疾...
2016.08.10 実就職率93.2% 公立大学1位・全国大学17位!
2016.08.09 【開催報告】平成28年度横浜市立大学保護者説明会(金沢八景キャンパス)
2016.08.09 医学国際化セミナー特別講演会『がんになったとき、あなたの大切な子どもに何を知らせますか?』
2016.08.05 【平成28年度秋季募集】仁川大学校交換留学募集要項
2016.08.05 三木健輔特任助教が統合医療機能性食品国際学会にて若手奨励賞を受賞しました!
2016.08.04 嘱託職員(医学部微生物学教室 実験助手)
2016.08.04 【開催報告】平成28(2016)年度 国際総合科学部 FD研修会
2016.08.01 平成28年度(平成29年春出発)横浜市大ブリッジプログラム募集要項(9/30〆切)
2016.08.01 医学研究科医科学専攻 入試要項
2016.08.01 【活躍する市大生】「生物工学若手研究者の集い(生物工学若手会)夏のセミナー2016」で小島伸彦研究室...
2016.08.01 【開催報告】ハーバード大学と日本の大学生が交流イベント~第5回大倉山国際学生フォーラム
2016.07.28 横浜市立大学鶴見キャンパス・理化学研究所横浜キャンパス 一般公開
2016.07.26 応募要件緩和/部分参加OK! YCU SSP 2016_Medicine 参加者募集
2016.07.26 谷口英樹教授らの研究成果が、中国で特許として成立しました。
2016.07.26 アメリカ・アジアトップレベルの学生と「医学・医療」を学び考える 夏季プログラム「YCU Scienc...
2016.07.20 谷口英樹教授らの研究成果が、日本で特許として成立しました
2016.07.20 和田忠士元准教授らの研究成果が、特許として成立しました。
2016.07.16 三陽物産×横浜市立大学コラボレーション 社会の役に立つお菓子「ヨコハマのカモヘイ マシュマロ 」
2016.07.15 過去の入試問題
2016.07.15 【大学院】生命医科学研究科 博士前期課程(学外推薦)入学試験合格発表
2016.07.15 県内大学初となる「イクボス宣言」を行いました
2016.07.14 YCU理系フェスタ(医学編) 小・中学生のための外科医体験「ブラック・ジャックセミナー」開催
2016.07.13 学生ならではの視点と行動力で地域課題を解決 ~平成28 年度は8件の地域貢献活動支援事業をスタート~
2016.07.12 新CSR検定3級の累計合格者数が全国3位にランクイン
2016.07.11 【活躍する市大生】国際会議「32nd Symposium on Chemical Kinetics ...
2016.07.09 平成27年度の医療安全管理の取組について
2016.07.07 【開催報告】平成28年度 第一回海外フィールドワーク合同帰国報告会
2016.07.07 【開催報告】日産自動車(株)土井三浩氏をお招きし、特別公開授業を行いました!
2016.07.07 YCU理系フェスタ(科学編) 『親子で楽しむ科学実験』 市大生が理科の面白さ、伝えます!
2016.07.06 抗腫瘍細胞活性を持つムラサキイガイ由来タンパク質の立体構造を決定
2016.07.05 アジアTOP クラスの海外学生と英語で議論『アジアの未来を考える』 夏季講座「YCU Summer ...
2016.07.01 木原生物学研究所・辻准教授がキヤノン財団研究助成金に採択されました!
2016.07.01 梅村敏名誉教授らの研究成果が、中国で特許として成立しました。
2016.06.30 第5回大倉山国際学生フォーラム
2016.06.30 YCU理系フェスタ(植物編) 五感をフル活用! 植物を感じよう!
2016.06.27 高山光男教授が質量分析学会賞を受賞しました!
2016.06.25 臨床統計学 山中竹春教授ら共同研究グループが結腸がんの再発を予測する遺伝子検査の有用性を証明
2016.06.24 本学名誉教授 藤野次雄先生が横浜市代表監査委員に就任
2016.06.24 日本化学会「第96春季年会」で学生講演賞を受賞した増子さん
2016.06.24 石上友章准教授らの研究成果が、アメリカ合衆国で特許として成立しました。
2016.06.23 谷口英樹教授らの研究成果が、日本で特許として成立しました。
2016.06.23 【活躍する市大生】環境ボランティアStepUp↑が地域環境保全功労者として環境大臣賞受賞
2016.06.23 横浜市立大学所蔵の古地図データベースを公開します
2016.06.22 循環器内科学 石上准教授ら研究グループが食塩感受性・高血圧の分子レベルでの病態の解明に成功
2016.06.21 就職活動成功に向けた保護者の関わり方を講演!
2016.06.16 石上友章准教授らの研究成果が、日本で特許として成立しました。
2016.06.08 谷口英樹教授らの研究成果が、カナダで特許として成立しました。
2016.06.08 梁 明秀教授らの研究成果が、日本で特許として成立しました。
2016.06.08 公立大学法人横浜市立大学におけるハラスメントの防止と対策
2016.06.08 障害者雇用推進室が始動 ~誰もが活躍できる職場を目指して~
2016.06.06 平成28年度 学長裁量事業 「第1期学術的研究推進事業」公募について
2016.06.04 空き家利活用プロジェクト始動!
2016.06.03 横浜市・企業等と連携して地域課題を解決
2016.05.31 光センサータンパク質の構造を原子レベルで解明
2016.05.30 平成28年度 大学院生海外活動奨励制度募集要項
2016.05.27 AO入試に関する概要・Q&A
2016.05.26 「未来茅ヶ崎市2015」政策コンテストで2位に入賞
2016.05.26 平成29年度大学院医学研究科看護学専攻修士課程入試日程
2016.05.20 平成28年度 科目等履修生(学部・大学院)(後期)の募集
2016.05.19 足立典隆教授の研究成果が、アメリカ合衆国で特許として成立しました。
2016.05.19 貝の微生物感染防御に働くレクチンMytiLec-1の遺伝子配列を決定
2016.05.18 木原生物学研究所・小野特任助教がポスター賞を受賞しました! [C01-226]
2016.05.17 ヒストンタンパク質複合体の溶液構造を世界で初めて解明 ~遺伝子発現のメカニズム解明を目指して~
2016.05.17 平成28年度入学式学長式辞
2016.05.12 ドイツ フランクフルト市の「ゲーテ大学」と協定締結
2016.05.11 生理学 高橋琢哉教授らの研究課題がAMED「橋渡し研究加速ネットワークプログラム」のシーズC支援課題...
2016.05.10 生理学 高橋琢哉教授らの研究課題がAMED「脳科学研究戦略推進プログラム」に研究拠点として採択されま...
2016.05.09 【募集】平成28年度学生が取り組む地域貢献活動支援事業
2016.05.07 英語での対応を想定した「英語研修」と「対応Book制作」
2016.05.06 石川義弘教授らの研究成果が、ヨーロッパで特許として成立しました。
2016.05.06 【保健管理センターからのお知らせ】定期健康診断の全日程が終了しました→個人結果通知の配付&健康診断証...
2016.05.03 認証評価で適合認定。横浜市立大学が高く評価される!
2016.05.01 「大学ランキング2017」(朝日新聞出版)にて、上位にランクイン
2016.05.01 【募集】平成28度_学生が取り組む地域貢献活動支援事業
2016.04.29 横浜市大×電通『広告医学プロジェクト2016』が本格始動-若手クリエーター・アーティストとのコラボレ...
2016.04.28 熊本地震に係る横浜市立大学の対応について
2016.04.27 微生物学 梁教授ら共同研究グループが人類の脅威となるMERSコロナウイルスを迅速、簡便、正確に検出す...
2016.04.26 障害を理由とする差別の解消の推進に関する教職員対応要領について
2016.04.26 熊本地震により被害を受けた在学生の方へ 経済支援制度のご案内
2016.04.23 卒業生の方へ:最新トピックス
2016.04.21 本学教員2名が文部科学大臣表彰 若手科学者賞を受賞
2016.04.21 「ストレスチェック制度」について →平成28年度から毎年1回実施します
2016.04.20 横浜市立大学の新たなランドマーク 「YCUスクエア」 始動
2016.04.18 嶋田幸久教授らの研究成果が、アメリカ合衆国で特許として成立しました。
2016.04.18 熊本地震で被災された皆さまへ
2016.04.15 【活躍する市大生】文部科学省主催「第5回サイエンス・インカレ」にて、国際総合科学部生2名が受賞しまし...
2016.04.14 神奈川産学チャレンジプログラム参加募集について
2016.04.14 三浦半島地域活性化協議会 発足について
2016.04.13 遺伝学 松本教授らの共同研究グループが骨硬化性骨幹端異形成症の原因遺伝子を発見
2016.04.13 平成27年度卒業式学長式辞
2016.04.05 国際マネジメント研究科 入試要項
2016.04.01 学生広報ワークショップメンバー募集!
2016.04.01 【重要】2016(平成28)年度留学生対象奨学金等(授業料減免を含む)申請について
2016.04.01 YCU留学サポート奨学金
2016.04.01 木原生物学研究所の研究グループらが、ムギ類の穂発芽に関する遺伝子を発見
2024/03/15
重要なお知らせが入ります。